Listeria monocytogenes

What listeria is and how you can reduce your risk of illness

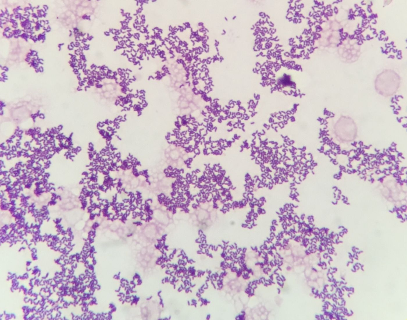
Listeria bacteria. They're v shaped and purple on a white background.

What is listeria?

Listeria (listeria monocytogenes) is a type of bacteria which can cause a rare, but serious illness called listeriosis. It’s usually caused by eating food contaminated with listeria. 

Listeriosis is rare and most people are likely to have only mild infection, with symptoms similar to flu or gastroenteritis. However, for some people it can cause serious illness, which can result in hospitalisation and, in severe cases, death. 

Listeria may not infect many people each year, but it’s important to be aware of it. Pregnant women (and their unborn babies), older adults and people with weakened immune systems are at higher risk of becoming ill and likely to experience severe symptoms.

People who are at higher risk of illness from listeria

For some people, listeria can cause serious illness (such as meningitis or sepsis), which can result in hospitalisation and death. These groups are:

Cold-smoked and cured fish

People who are pregnant or have a weakened immune system are more likely to suffer severe symptoms from listeria infection and are advised to avoid eating ready-to-eat cold-smoked or cured fish products. 

As the risk of serious illness from listeriosis increases with age, older adults should also be aware of the risk of eating cold-smoked and cured fish and take steps to prevent listeria infection. These steps include:

  • eating foods by the use-by dates
  • ensuring the product is kept refrigerated (below 5°C)
  • considering the safer alternatives

Safer alternatives for those at higher risk of listeria infection include:

  • cooked smoked fish - this can be in dishes such as quiche, fish cakes, pie or gratin:
    • cooking will kill any listeria that may be present
    • if you're cooking smoked fish yourself, make sure it is steaming hot all the way through and served or chilled immediately
    • cooked smoked fish may be served cold after being chilled in the fridge.
    • care should be taken with adding cold-smoked or cured fish to dishes like cooked pasta or scrambled eggs
      • cook the fish first as warming it through as you prepare your meal will not heat the fish to a high enough temperature to kill listeria.  
  • tinned/canned smoked fish
  • thoroughly cooked fish fillets (which are purchased fresh or frozen) 

Cold-smoked fish (for example smoked salmon or trout) or cured fish such as gravlax are fish products that have not undergone a full cooking step during production and therefore present a high risk of listeria infection. This includes sushi which is prepared using cold-smoked or cured fish. 

Cold-smoked fish is normally labelled as ‘smoked’ fish on packaging. It has been cured (for example in salt) and then smoked at a low temperature, but it is not cooked through. Ready-to-eat cold-smoked fish typically come in thin slices, as shown in the image below. Examples include smoked trout slices and smoked salmon slices.

Cold smoked salmon

Understanding the risks

Although a wide range of foods can become contaminated with listeria, most infections are caused by eating chilled ready-to-eat foods that do not need further cooking or reheating. 

Examples of chilled ready-to-eat foods include:

  • cold-smoked and cured fish, including sushi
  • cold cooked sliced meats
  • cured deli meats
  • cold pre-cooked shellfish
  • soft mould-ripened cheeses (e.g. Camembert, brie and blue-veined cheeses)
  • pâté
  • pre-prepared sandwiches and salads
  • unpasteurised dairy products
  • pre-cut fruits and vegetables

Food businesses must apply food safety controls to make sure listeria is not present at unsafe levels in these foods. If the foods are not stored correctly (e.g. at the correct fridge temperature) or eaten after the use-by date, then listeria may grow and cause illness. It can be difficult to find out what food was contaminated as it can take up to 70 days to show any symptoms of illness.

Steps to reduce the risks

When preparing food at home, it’s important to: 

  • keep chilled ready-to-eat foods cold – make sure your fridge is working properly and is set to 5°C or below
  • always eat, cook or freeze foods by their use-by date.
  • follow the storage instructions on the label and use opened foods within 2 days unless instructions on the packaging say otherwise
  • eat ready-to-eat foods within 4 hours of being taken out of the fridge
  • make sure that you follow manufacturer’s instructions in the preparation of all foods
  • keep raw and ready-to-eat foods separate to avoid cross-contamination
  • wash fruit and vegetables before eating raw
  • wash hands with soap and warm water before preparing food, including when opening packaged foods 

Advice for healthcare and social care organisations

We've developed guidance for healthcare and social care organisations to help protect people within their care from becoming ill with listeriosis. Reducing the risk of vulnerable groups contracting listeriosis.

Did you find this helpful? We would love to hear from you.
Thank you for your feedback!